First Reported Case of Extra-Ureteric Urothelial Carcinoma

Gholami M1, Lam J1

Research Type

Clinical

Abstract Category

Uro-Oncology

Abstract 880
Non Discussion ePosters - Case Reports
Scientific Non Discussion Poster Session 300
Surgery Imaging Anatomy
1. Flinders Medical Centre
Links

Poster

Abstract

Hypothesis / aims of study
Urothelial carcinoma encompasses malignancies involving bladder, urethra, ureter or pelvicalyceal system. Although bladder cancers account for greater than 90% of urothelial carcinomas, upper tract surveillance in patients with bladder cancer is of great significance, given existence of concurrent bladder cancer and upper tract urothelial carcinoma, as well as recurrences in the upper tract [1].
We present a truly unique and first-in-literature case of extra-ureteric low-grade urothelial carcinoma, arising two decades after initial diagnosis of non–muscle-invasive bladder cancer (NMIBC). This case challenges conventional surveillance paradigms and exposes the diagnostic blind spots in upper tract evaluation—redefining how urologists might approach late and unusual recurrences.
Study design, materials and methods
A 75-year-old male was initially diagnosed with low-grade NMIBC in 1997 and completed induction and maintenance intravesical BCG by 1999, with a single low-grade recurrence over the first ten year period, prior to referral to our Urology service. Over the next decade, both bladder and upper tracts remained clear on surveillance imaging and endoscopy as per guidelines [2].
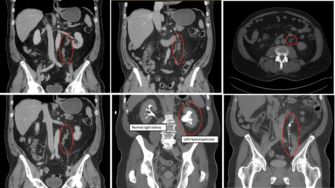
However, at 10 years post-recurrence, CT of upper tracts demonstrated moderate left pelvicalyceal dilatation with pelvi-ureteric junction obstruction due to appearance of fairly extensive lobular enhancing and thickened upper ureter over craniocaudal extent of 90mm. Additionally, periureteric nodular soft tissue observed which were anticipated to be enlarged lymph nodes versus direct extension in the anteromedial renal fascia measuring up to 7mm (Figure 1). On the delayed phase there was stasis of contrast in the dilated pelvicalyceal system without opacification of the left ureter, raising suspicion of obstructive pathology.
Retrograde pyelography confirmed a tortuous left upper ureter and a normal right ureter. Rigid left ureteroscopic access was limited by distal tightness. Despite flexible ureteropyeloscopy up to the renal pelvis, no macroscopic mucosal lesions were seen. Washings were taken which were subsequently negative for high-grade malignancy.
Crucially, CT-guided biopsy of the periureteric tissue was arranged which revealed low-grade papillary urothelial carcinoma—not within the lumen, but external to the ureter, in the surrounding soft tissue mass. CT chest for staging purpose performed which did not reveal any evidence of metastasis.
Results
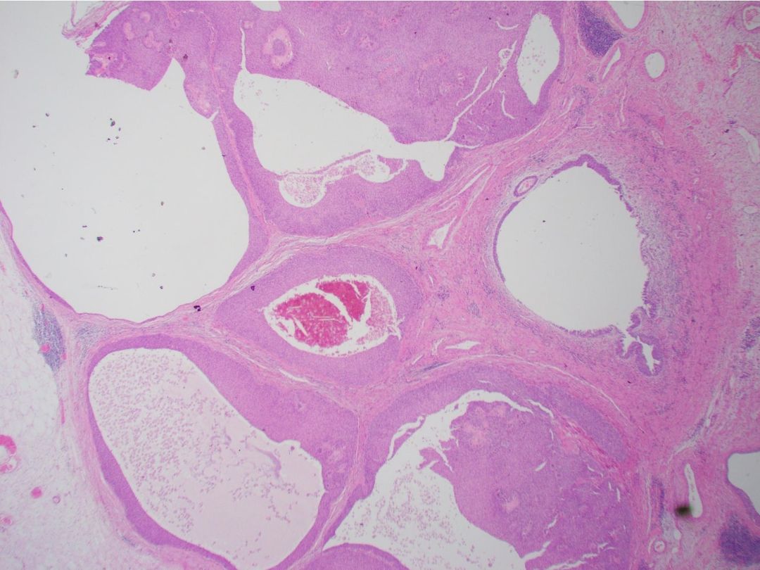
The patient underwent robot-assisted left nephroureterectomy (Figure 2). Histopathology revealed multicystic, non-invasive, low-grade urothelial carcinoma in the periureteric space, surrounding but not invading the ureter, confirming the diagnosis of extra-ureteric urothelial carcinoma—a presentation never previously described in the literature (Figure 3).
Interpretation of results
He remains recurrence-free on annual cystoscopic and upper tract surveillance.
Concluding message
To the authors’ knowledge, this case represents the first documented instance of extra-ureteric urothelial carcinoma—a novel manifestation of upper tract recurrence that defies traditional endoscopic and mucosal-centric diagnostic approaches. It exposes a critical blind spot in our surveillance tools and calls for a re-evaluation of how we interpret "normal" endoscopic findings in the presence of radiologic abnormalities.
For the urologist, this is a cautionary tale and a call to remain vigilant, and to consider the possibility of extraluminal recurrence in select cases. This case not only expands our understanding of the natural history of urothelial carcinoma but may redefine the frontier of upper tract disease surveillance.
Figure 1 Left periureteric soft tissue density and left hydronephrosis
Figure 2 Left nephroureterectomy tissue demonstrating normal kidney and ureter
Figure 3 Histopathology demonstrating multicystic urothelial carcinoma without ureteric invasion
References
  1. Cosentino, M., Palou, J., Gaya, J. M., Breda, A., Rodriguez-Faba, O., & Villavicencio-Mavrich, H. (2013). Upper urinary tract urothelial cell carcinoma: location as a predictive factor for concomitant bladder carcinoma. World journal of urology, 31(1), 141–145. https://doi.org/10.1007/s00345-012-0877-2
  2. Babjuk, M., Burger, M., Capoun, O., Cohen, D., Compérat, E. M., Dominguez Escrig, J. L., Gontero, P., Liedberg, F., Masson-Lecomte, A., Mostafid, A. H., Palou, J., van Rhijn, B. W. G., Rouprêt, M., Shariat, S. F., Seisen, T., Soukup, V., & Sylvester, R. J. (2022). European Association of Urology Guidelines on Non-muscle-invasive Bladder Cancer (Ta, T1, and Carcinoma in Situ). European urology, 81(1), 75–94. https://doi.org/10.1016/j.eururo.2021.08.010
Disclosures
Funding None Clinical Trial No Subjects Human Ethics not Req'd Not required - it involved medical interventions deemed necessary for patient care Helsinki Yes Informed Consent Yes
18/10/2025 04:38:38