Voiding dysfunction secondary to a primary uterine cervix lymphoma

SANZ PABLOS J1, LOPEZ CARRASCO I1, PRIETO POZUELO M1, MORATALLA BARTOLOME E1

Research Type

Clinical

Abstract Category

Female Lower Urinary Tract Symptoms (LUTS) / Voiding Dysfunction

Abstract 361
Open Discussion ePosters
Scientific Open Discussion Session 101
Wednesday 23rd October 2024
10:25 - 10:30 (ePoster Station 5)
Exhibition Hall
Voiding Dysfunction Urgency/Frequency Sexual Dysfunction Imaging
1. Hospitales Madrid
Presenter
Links

Poster

Abstract

Hypothesis / aims of study
Voiding disfunction diagnosis can be sometimes challenging. Physical examination in pelvic floor patients is essential. Among the causes of this dysfunction, we cannot forget the obstructive cause. Lymphoma of the uterine cervix is a very rare entity, but its compressive effect may explain the symptoms of voiding dysfunction.
Study design, materials and methods
A 47-year-old patient came to the clinic with symptoms related to voiding dysfunction of two months' duration. Difficulty in initiating urination, a sensation of urinary urgency and discomfort with sexual intercourse.  On physical examination, although the macroscopic appearance of the vagina was normal, palpation revealed thickening of the anterior vaginal wall. 

A transvaginal ultrasound was performed, showing a mass of approximately 6 centimetres on the anterior vaginal wall. A postvoid residue of 240 cubic centimetres (cc). A urine culture was requested, an imaging test (nuclear magnetic resonance) and treatment was started with solifenacin 6 milligrams (mg) and tamsulosin 0.4mg.

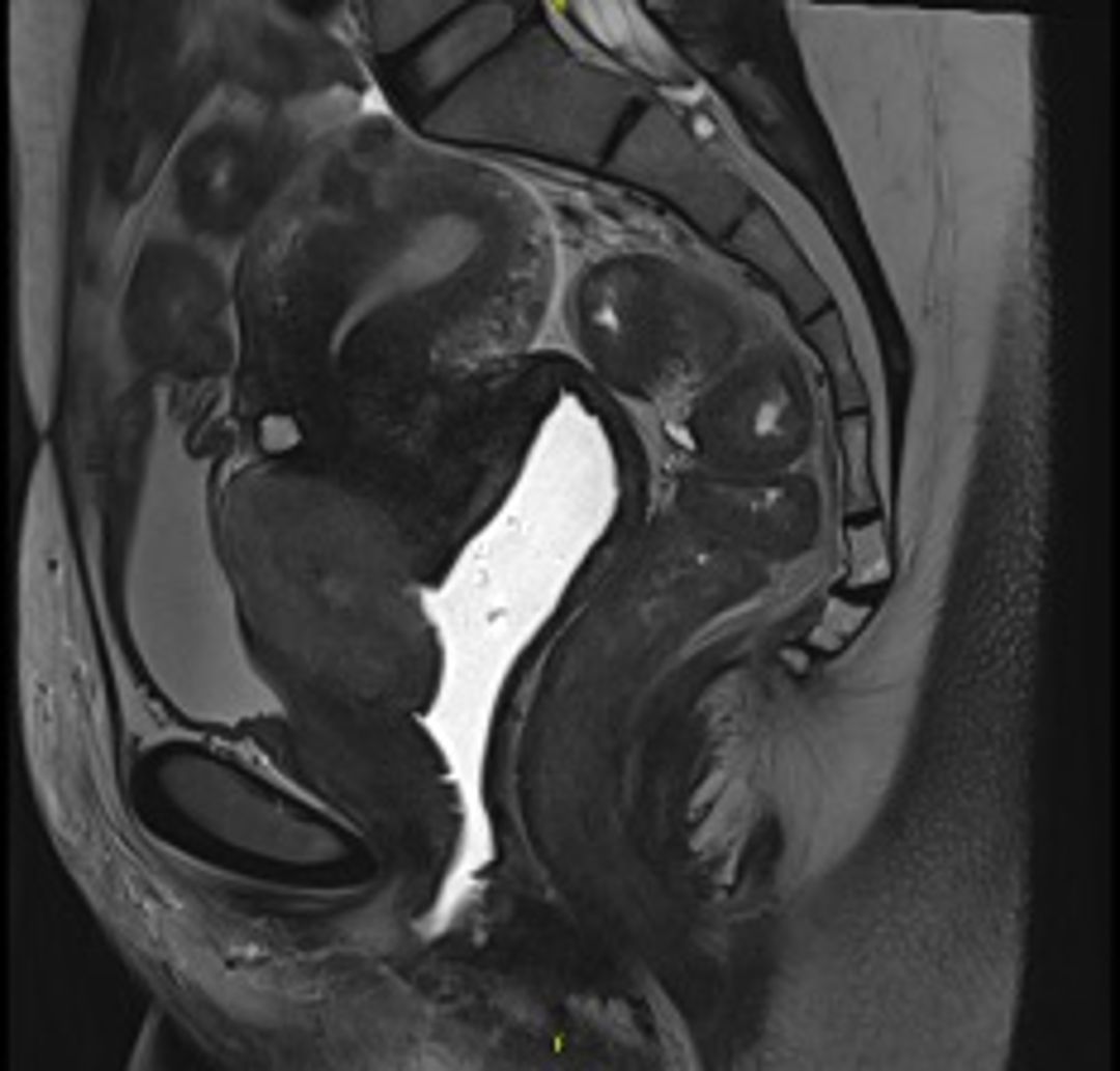
The MRI shows a tumor on the anterior lip of the exocervix showing an exophytic growth towards the vagina, infiltrating mainly the anterior wall and the lateral walls of the upper and middle third of the vagina. It measures approximately 6.2 x 3.6 x 5.5 centimeters(cm) in diameter. Multiple subcentimetric pelvic adenopathies. Image 1.

It was decided to perform an ultrasound-guided biopsy of the tumor via the vagina in the operating theatre under sedation. A representative sample was obtained and the pathologist reported it as a low-grade B lymphoproliferative syndrome with an immunohistochemical profile consistent with diffuse pattern follicular lymphoma. Image 2-3.
Results
The patient has been referred to the onco-hematology department for chemo-radiotherapy treatment. In the absence of symptoms, she continues to receive the pharmacological treatment she has started until a reduction in the tumour mass is observed.
Interpretation of results
The International Continence Society (ICS) and the International Urogynecological Association (IUGA) in 2010 defined voiding dysfunction (VD) as "abnormally slow and/or incomplete voiding, based on both symptoms and urodynamic findings". The prevalence of voiding dysfunction varies between 6-61%. The diagnosis can be challenging, involves a comprehensive evaluation, including a detailed medical history, physical examination, urinalysis, and imaging studies such as ultrasonography or urodynamic testing. This dysfunction can result from various underlying issues, including neurological disorders, bladder outlet obstruction, or dysfunctional voiding habits. Symptoms of voiding dysfunction may include difficulty initiating urination, incomplete bladder emptying, urinary hesitancy, weak urine stream, frequent urination, and recurrent urinary tract infections.

Primary lymphoma of the uterine cervix (LUCX) is extremely rare, and its diagnosis is challenging. Primary LUCX has been identified in aproximately 0.22% of patients with uterine cervical malignancies. Diffuse large B-cell lymphoma was the most common type, accounting for 85.0% of primary LUCX cases. The clinical symptoms are non-specific. The compressive effect it exerts on the surrounding structures may justify symptoms of voiding dysfunction. Their 5-year overall survival (OS) rate was 93.5%.
Concluding message
Primary uterine cervical lymphoma is a very rare entity. Due to the mass effect it has on the other surrounding structures, it can compress the bladder and/or urethra and cause symptoms of voiding dysfunction, urinary urgency or even urinary incontinence.  Physical examination in this type of patient is essential in order to guide the diagnosis.
Figure 1
Figure 2
Figure 3
References
  1. Primary lymphoma of the uterine cervix: a clinicopathologic study of 13 cases with review of additional 54 cases in the literature Xin Weng # 1, Mayan Huang # 2 3, Meng Zhang 1, Yajie Yang 1, Xia Liu 1, Yuhua Huang 4 5 PMID: 36350409 DOI: 10.1007/s00428-022-03436-y
  2. Binesh F, Karimi zarchi M, Vahedian H, Rajabzadeh Y (2012) Primary malignant lymphoma of the uterine cervix BMJ Case Rep 2012:bcr2012006675. https://doi.org/10.1136/bcr-2012-006675
  3. Haylen BT, Maher CF, Barber MD, Camargo SFM, Dandolu V, Digesu A, Goldman HB, Huser M, Milani A, Moran P, Schaer GN, Withagen MI. International Urogynecological Association (IUGA) / International Continence Society (ICS) Joint Report on the Terminology for pelvic organ prolapse (POP). Int Urogynecol J,2016, 27(2):165-194; Erratum,2016, 27(4): 655-684; Neurourol Urodyn,2016,35(2):137-168.
Disclosures
Funding NONE Clinical Trial No Subjects None
08/05/2026 11:55:35